La agenesia dentaria se presenta con relativa frecuencia en nuestro medio. Es una alteración del número de dientes presentes en boca, caracterizada por la ausencia congénita de dientes temporales y/o permanentes, debido a un disturbio en el sitio normal de iniciación durante el proceso de formación dentaria.
Diversos son los métodos por los cuales se pueden resolver estos trastornos. La restitución de los dientes faltantes por jackets asistidas por implantes creemos puede ser la mejor opción, aunque no siempre posible. Es que cumple con el imperativo estético que demanda el paciente en nuestros días y hace que la actividad clínica suela enfrentar desafíos por demás importantes.
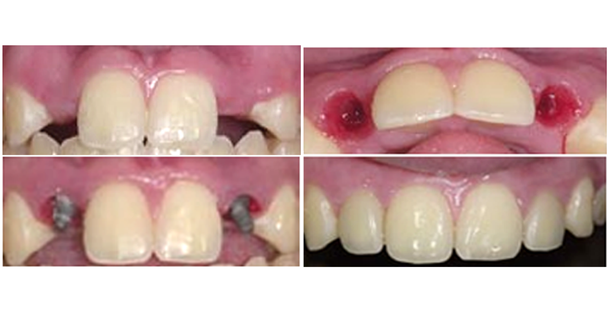
Consideramos que el aporte de la Periodoncia a la Implantología ha sido de real valía en la consideración de la encía que rodea la pieza implanto-asistida.
La correcta aplicación de técnicas de microcirugía gingival, permiten la colocación del implante de una forma particular. Sin bisturí convencional y sin sutura, a través de una incisión circular de 5 mm de diámetro que garantiza un postoperatorio que pasa inadvertido y logra un excelente resultado estético.

Si a ello le sumamos el concepto de carga inmediata, que implica que en el mismo procedimiento de inserción del implante se pueda reponer las piezas dentarias ausentes, estaremos optimizando tiempos y resultados.
Luego el paciente es controlado periódicamente garantizando de esta forma la salud y estética lograda. Confíe en las técnicas de última generación, sumadas a la experiencia brindan excelentes resultados funcionales y estéticos.